That was an MRI. For forty-five minutes, sometimes closer to an hour, this is what I have to endure. If you’re wondering what those annoying sounds are, wonder no more. These are the rapid pulses of electricity running through the machine to produce the images that assist doctors in discovering tumors and other bodily harms. But don’t worry, you get ear plugs.
Worry. That word is too commonly thrown around in today’s world. While in the midst of working, Christmas shopping and having a social life, I have been mentally preparing myself for my MRI next week. Shockingly though, as much as it’s been on my mind, I haven’t let myself dwell on it. Fortunately, an MRI is nothing new for me as I have had so many in the past six years. Instead, I look forward to MRI days as I know that they are my ticket to receiving a clean bill of health. The process of having one though? That’s a whole other story…
Each time that I go to the hospital to have one, I have to complete a form and list out the dates of all my past MRIs and list each hospitalization in my life. It boggles my mind why patients are required to fill out the same form every time when we have so much on our minds as opposed to the hospital simply pulling the patient’s chart or better yet, having us review the record and noting any changes and/or updates when we arrive. The part that gets me every time is when the radiologist says: “before I can bring you into the room, can you tell me your name and date of birth?” As if I would be here otherwise?! But I digress.
Over the past six years, I’ve seen images of my brain captured by MRIs. However, it’s not just those very loud noises and shaking of the machine that produces the images – I introduce you to contrast dye. For most MRIs and with my scans, right before the very last images are taken, contrast dye is injected into a vein. You can feel it – your body goes from a comfortable temperature to feeling like you just walked outside into a blizzard. But the contrast is important as it provides a greater look at the organs and for making a diagnosis. Then there’s the claustrophobia aspect of it all; being in an MRI machine, unable to move a muscle with the mask an inch over your face is anxiety-provoking even if being in confined spaces does not bother you.
So as part of my new-found quest to be an advocate for brain tumor research and educate the public, I’ve decided to share some of my past MRIs with you.
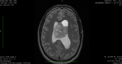
Let me start with this:
You may recall seeing this MRI in a previous post, but I am sharing it again because this was my very first MRI – the beginning of what I now say defines who I am as a person. The MRI shows the tumor sitting in my ventricular system up against my optic nerve and pushing my brain off to the sides. Hydrocephalus (water on the brain) is also present. Then, there was this from this past March:
Do you see the circle in the lower right-hand corner? If you guessed that is my shunt, then you are correct. It’s amazing what doctors can do today. Because of that device, my brain looks nice and relaxed. There are no obstructions, the hydrocephalus is under control and there is no tumor regrowth.
Throughout the years, the goal was to have me scanned once per year. During post-op years 1-3, I was scanned once every six months. After that ,everyone (including me) hoped that I would only need to get scanned once per year but now, six years out, that has not happened…yet. Since just last October, I have had 4 MRIs. The one below was “pristine” and perfect.
It amazes me to see this one compared with my first above. To think that the mass was removed and in the span of five years, my brain looks normal again. Talk about a hard job!
Okay, so enough talk about the preparation – let’s go and do this. I’m as ready as I can be for next week and whatever results that it brings. As mentioned in a previous blog, I am being re-scanned out of precaution. I want to get through next week before I show you the most recent scan but as I look at it, I go back and forth on whether it looks any different.
Hopefully it’s nothing and I can resume living my life. Hopefully I won’t have to worry and can be happy. But time and enduring more loud noises stand in the way first. This is the story of my life. Yet, I manage to always find the positive in every situation – even for return trips to Yale for MRIs.